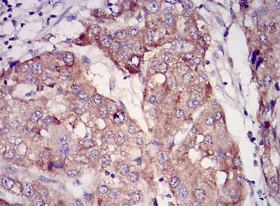
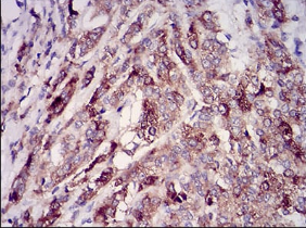
RAB27A单克隆抗体[7D7C9]

AccuSift
RAB27A Mouse Monoclonal antibody[7D7C9]
GS2; RAM; RAB27; HsT18676
货号 名称 规格 价格 货期 数量
AC3327 RAB27A单克隆抗体[7D7C9] 50ug ¥1250 1周
AC3327 RAB27A单克隆抗体[7D7C9] 100ug ¥2200 1周

The protein encoded by this gene belongs to the small GTPase superfamily, Rab family. The protein is membrane-bound and may be involved in protein transport and small GTPase mediated signal transduction. Mutations in this gene are associated with Griscelli syndrome type 2. Alternative splicing occurs at this locus and four transcript variants encoding the same protein have been identified.


Aliases:    GS2; RAM; RAB27; HsT18676    

Entrez GeneID:    5873    

Swissprot :   P51159    

WB Predicted band size:    24.9kDa    

Host/Isotype:    Mouse IgG2b    

Species Reactivity:    Human    

Immunogen:    Purified recombinant fragment of human RAB27A (AA: FULL(1-221)) expressed in E. Coli.    

操作说明

IHC    1/200 - 1/1000    

ELISA    1/10000    

参考文献