Rab25单克隆抗体[3F543]

AccuSift
Rab25 Mouse Monoclonal antibody[3F543]
CATX-8; RAB25
货号 名称 规格 价格 货期 数量
AC3325 Rab25单克隆抗体[3F543] 50ug ¥1250 1周
AC3325 Rab25单克隆抗体[3F543] 100ug ¥2200 1周

Members of the Ras-related superfamily of GTP binding proteins, which includes Ras, Rho, Rab and ARF subfamilies, exhibit 30-50% similarity with Ras p21. Rab proteins play an important role for either in endocytosis or in biosynthetic protein transport. The possibility that Rab proteins might also direct the exocytosis from secretory vesicles to the plasma membrane is supported by the observation that in yeast, the SEC4 protein, which is 40% similar to Rab proteins, is associated with secretory vesicles. Rab proteins located on the cytoplasmic face of organelles and vesicles, rab proteins are involved in intracellular membrane fusion reactions. Rab25 was cloned from a gastric parietal cell cDNA library and is expressed in epithelial tissues such as the gastrointestinal mucosae, kidney, and lung, which encoded a protein of 28 kDa.


Aliases:    CATX-8; RAB25    

Entrez GeneID:    57111    

Swissprot:    P57735    

WB Predicted band size:    24kDa    

Host/Isotype:    Mouse IgG1     

Species Reactivity:    Human,Mouse    

Immunogen:    Purified recombinant fragment of Rab25 expressed in E. Coli.    

操作说明

WB    1/500 - 1/2000    

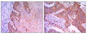
IHC    1/200 - 1/1000    

IF/ICC    1/200 - 1/1000    

FCM    1/200 - 1/400    

ELISA    1/10000    

参考文献