Rab1b单克隆抗体[7A12G]

AccuSift
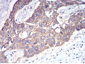
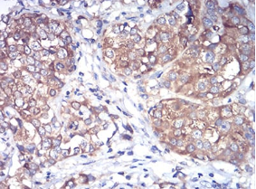
Rab1b Mouse Monoclonal antibody[7A12G]
货号 名称 规格 价格 货期 数量
AC3323 Rab1b单克隆抗体[7A12G] 50ug ¥1250 1周
AC3323 Rab1b单克隆抗体[7A12G] 100ug ¥2200 1周

Members of the RAB protein family, such as RAB1B, are low molecular mass monomeric GTPases localized on the cytoplasmic surfaces of distinct membrane-bound organelles. RAB1B functions in the early secretory pathway and is essential for vesicle transport between the endoplasmic reticulum (ER) and Golgi

Entrez GeneID:    81876    

Swissprot:    Q9H0U4      

WB Predicted band size:    22.2kDa    

Host/Isotype:    Mouse IgG2b    

Species Reactivity:    Human    

Immunogen:    Purified recombinant fragment of human Rab1b (AA: 60-201) expressed in E. Coli.    

操作说明

IHC    1/200 - 1/1000    

FCM    1/200 - 1/400    

ELISA    1/10000    

参考文献