Rab13单克隆抗体[7G8A4]

AccuSift
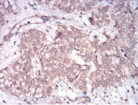
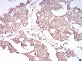
Rab13 Mouse Monoclonal antibody[7G8A4]
GIG4
货号 名称 规格 价格 货期 数量
AC3321 Rab13单克隆抗体[7G8A4] 50ug ¥1250 1周
AC3321 Rab13单克隆抗体[7G8A4] 100ug ¥2200 1周

This gene is a member of the Rab family of small G proteins and plays a role in regulating membrane trafficking between trans-Golgi network (TGN) and recycling endosomes (RE). The encoded protein is involved in the assembly of tight junctions, which are components of the apical junctional complex (AJC) of epithelial cells. The AJC plays a role in forming a barrier between luminal contents and the underlying tissue. Additional functions associated with the protein include endocytic recycling of occludin, regulation of epithelial cell scattering, neuronal regeneration and regulation of neurite outgrowth. Alternately spliced transcript variants have been observed for this gene. A pseudogene associated with this gene is located on chromosome 12.


Aliases:    GIG4    

Entrez GeneID:    5872    

Swissprot:    P51153    

WB Predicted band size:    22.8kDa    

Host/Isotype:    Mouse IgG1    

Species Reactivity:    Human    

Immunogen:    Purified recombinant fragment of human Rab13 (AA: 66-200) expressed in E. Coli.    

操作说明

IHC    1/200 - 1/1000    

IF/ICC    1/200 - 1/1000    

FCM    1/200 - 1/400    

ELISA    1/10000    

参考文献