PYCARD单克隆抗体[1C3D7]

AccuSift
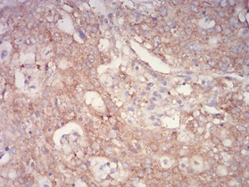
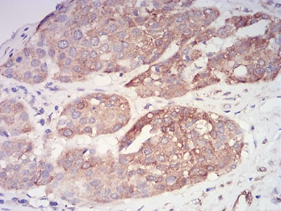
PYCARD Mouse Monoclonal antibody[1C3D7]
ASC; TMS; TMS1; CARD5; TMS-1
货号 名称 规格 价格 货期 数量
AC3316 PYCARD单克隆抗体[1C3D7] 50ug ¥1250 1周
AC3316 PYCARD单克隆抗体[1C3D7] 100ug ¥2200 1周

This gene encodes an adaptor protein that is composed of two protein-protein interaction domains: a N-terminal PYRIN-PAAD-DAPIN domain (PYD) and a C-terminal caspase-recruitment domain (CARD). The PYD and CARD domains are members of the six-helix bundle death domain-fold superfamily that mediates assembly of large signaling complexes in the inflammatory and apoptotic signaling pathways via the activation of caspase. In normal cells, this protein is localized to the cytoplasm; however, in cells undergoing apoptosis, it forms ball-like aggregates near the nuclear periphery. Two transcript variants encoding different isoforms have been found for this gene.


Aliases:    ASC; TMS; TMS1; CARD5; TMS-1    

Entrez GeneID:    29108    

Swissprot :   Q9ULZ3    

WB Predicted band size:    21.6kDa    

Host/Isotype:    Mouse IgG1    

Species Reactivity:    Human    

Immunogen:    Purified recombinant fragment of human PYCARD (AA: 1-120) expressed in E. Coli.    

操作说明

IHC    1/200 - 1/1000    

IF/ICC    1/200 - 1/1000    

FCM    1/200 - 1/400    

ELISA    1/10000    

参考文献