PTK7单克隆抗体[4F9A1]

AccuSift
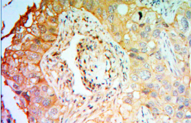
PTK7 Mouse Monoclonal antibody[4F9A1]
CCK4; PTK7
货号 名称 规格 价格 货期 数量
AC3300 PTK7单克隆抗体[4F9A1] 50ug ¥1250 1周
AC3300 PTK7单克隆抗体[4F9A1] 100ug ¥2200 1周

Receptor protein tyrosine kinases transduce extracellular signals across the cell membrane. A subgroup of these kinases lack detectable catalytic tyrosine kinase activity but retain roles in signal transduction. The protein encoded by this gene is a member of this subgroup of tyrosine kinases and may function as a cell adhesion molecule. This gene is thought to be expressed in colon carcinomas but not in normal colon, and therefore may be a marker for or may be involved in tumor progression. Four transcript variants encoding four different isoforms have been found for this gene.Tissue specificity: Highly expressed in lung, liver, pancreas, kidney, placenta and melanocytes. Weakly expressed in thyroid gland, ovary, brain, heart and skeletal muscle. Also expressed in erythroleukemia cells. But not expressed in colon.

  

Aliases:    CCK4; PTK7    

Entrez GeneID:    5754    

Swissprot :   Q13308    

WB Predicted band size:    118kDa    

Host/Isotype:    Mouse IgG1    

Species Reactivity:    Human    

Immunogen:    Purified recombinant fragment of human PTK7 expressed in E. Coli.    

操作说明

WB    1/500 - 1/2000    

IHC    1/200 - 1/1000    

ELISA    1/10000    

参考文献