PSMB8单克隆抗体[1A5H2]

AccuSift
PSMB8 Mouse Monoclonal antibody[1A5H2]
JMP; LMP7; D6S216; PSMB5i; RING10; D6S216E; MGC1491
货号 名称 规格 价格 货期 数量
AC3291 PSMB8单克隆抗体[1A5H2] 50ug ¥1250 1周
AC3291 PSMB8单克隆抗体[1A5H2] 100ug ¥2200 1周

The proteasome is a multicatalytic proteinase complex with a highly ordered ring-shaped 20S core structure. The core structure is composed of 4 rings of 28 non-identical subunits; 2 rings are composed of 7 alpha subunits and 2 rings are composed of 7 beta subunits. Proteasomes are distributed throughout eukaryotic cells at a high concentration and cleave peptides in an ATP/ubiquitin-dependent process in a non-lysosomal pathway. An essential function of a modified proteasome, the immunoproteasome, is the processing of class I MHC peptides. This gene encodes a member of the proteasome B-type family, also known as the T1B family, that is a 20S core beta subunit. This gene is located in the class II region of the MHC (major histocompatibility complex). Expression of this gene is induced by gamma interferon and this gene product replaces catalytic subunit 3 (proteasome beta 5 subunit) in the immunoproteasome. Proteolytic processing is required to generate a mature subunit. Two alternative transcripts encoding two isoforms have been identified; both isoforms are processed to yield the same mature subunit.


Aliases:    JMP; LMP7; D6S216; PSMB5i; RING10; D6S216E; MGC1491    

Entrez GeneID:    5696    

Swissprot:    P28062       

WB Predicted band size:    30kDa    

Host/Isotype:    Mouse IgG1    

Species Reactivity:    Human,Rat    

Immunogen:    Purified recombinant fragment of human PSMB8 expressed in E. Coli.    

操作说明

WB    1/500 - 1/2000    

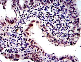
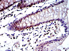
IHC    1/200 - 1/1000    

IF/ICC    1/200 - 1/1000    

ELISA    1/10000    

参考文献