PSAP单克隆抗体[3A5H7]

AccuSift
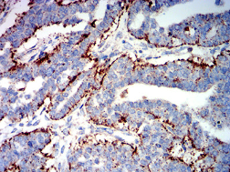
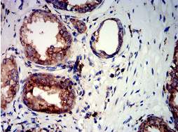
PSAP Mouse Monoclonal antibody[3A5H7]
GLBA; SAP1; SAP2
货号 名称 规格 价格 货期 数量
AC3283 PSAP单克隆抗体[3A5H7] 50ug ¥1250 1周
AC3283 PSAP单克隆抗体[3A5H7] 100ug ¥2200 1周

This gene encodes a highly conserved preproprotein that is proteolytically processed to generate four main cleavage products including saposins A, B, C, and D. Each domain of the precursor protein is approximately 80 amino acid residues long with nearly identical placement of cysteine residues and glycosylation sites. Saposins A-D localize primarily to the lysosomal compartment where they facilitate the catabolism of glycosphingolipids with short oligosaccharide groups. The precursor protein exists both as a secretory protein and as an integral membrane protein and has neurotrophic activities. Mutations in this gene have been associated with Gaucher disease and metachromatic leukodystrophy. Alternative splicing results in multiple transcript variants, at least one of which encodes an isoform that is proteolytically processed.

  

Aliases:    GLBA; SAP1; SAP2    

Entrez GeneID:   5660    

Swissprot:    P07602    

WB Predicted band size:    58.1kDa    

Host/Isotype:    Mouse IgG1    

Species Reactivity:    Human, Rat    

Immunogen:    Purified recombinant fragment of human PSAP (AA: 17-216) expressed in E. Coli.    

操作说明

WB    1/500 - 1/2000    

IHC    1/200-1/1000    

ELISA    1/10000    

参考文献