PRL单克隆抗体[2H10H]

AccuSift
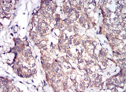
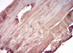
PRL Mouse Monoclonal antibody[2H10H]
货号 名称 规格 价格 货期 数量
AC3277 PRL单克隆抗体[2H10H] 50ug ¥1250 1周
AC3277 PRL单克隆抗体[2H10H] 100ug ¥2200 1周

This gene encodes the anterior pituitary hormone prolactin. This secreted hormone is a growth regulator for many tissues, including cells of the immune system. It may also play a role in cell survival by suppressing apoptosis, and it is essential for lactation. Alternative splicing results in multiple transcript variants that encode the same protein.


Entrez GeneID:    5617    

Swissprot:    P01236     

WB Predicted band size:    26kDa    

Host/Isotype:    Mouse IgG2b    

Species Reactivity:    Human    

Immunogen:    Purified recombinant fragment of human PRL (AA: 65-173) expressed in E. Coli.    

操作说明

IHC    1/200 - 1/1000    

IF/ICC    1/200 - 1/1000    

FCM    1/200 - 1/400    

ELISA    1/10000    

参考文献