PRKAA2单克隆抗体[5B4G1]

AccuSift
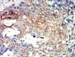
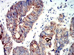
PRKAA2 Mouse Monoclonal antibody[5B4G1]
AMPK; AMPK2; PRKAA; AMPKa2
货号 名称 规格 价格 货期 数量
AC3262 PRKAA2单克隆抗体[5B4G1] 50ug ¥1250 1周
AC3262 PRKAA2单克隆抗体[5B4G1] 100ug ¥2200 1周

The protein encoded by this gene is a catalytic subunit of the AMP-activated protein kinase (AMPK). AMPK is a heterotrimer consisting of an alpha catalytic subunit, and non-catalytic beta and gamma subunits. AMPK is an important energy-sensing enzyme that monitors cellular energy status. In response to cellular metabolic stresses, AMPK is activated, and thus phosphorylates and inactivates acetyl-CoA carboxylase (ACC) and beta-hydroxy beta-methylglutaryl-CoA reductase (HMGCR), key enzymes involved in regulating de novo biosynthesis of fatty acid and cholesterol. Studies of the mouse counterpart suggest that this catalytic subunit may control whole-body insulin sensitivity and is necessary for maintaining myocardial energy homeostasis during ischemia.


Aliases:    AMPK; AMPK2; PRKAA; AMPKa2    

Entrez GeneID:    5563    

Swissprot:    P54646    

WB Predicted band size:    62.3kDa    

Host/Isotype:    Mouse IgG1    

Species Reactivity:    Human    

Immunogen:    Purified recombinant fragment of human PRKAA2 (AA: 453-552) expressed in E. Coli.    

操作说明

IHC    1/200 - 1/1000    

ELISA    1/10000    

参考文献