PRDM4单克隆抗体[4B6E8]

AccuSift
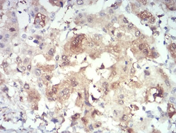
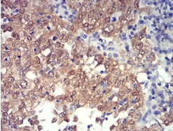
PRDM4 Mouse Monoclonal antibody[4B6E8]
PFM1
货号 名称 规格 价格 货期 数量
AC3254 PRDM4单克隆抗体[4B6E8] 50ug ¥1250 1周
AC3254 PRDM4单克隆抗体[4B6E8] 100ug ¥2200 1周

The protein encoded by this gene is a transcription factor of the PR-domain protein family. It contains a PR-domain and multiple zinc finger motifs. Transcription factors of the PR-domain family are known to be involved in cell differentiation and tumorigenesis. An elevated expression level of this gene has been observed in PC12 cells treated with nerve growth factor, beta polypeptide (NGF). This gene is located in a chromosomal region that is thought to contain tumor suppressor genes.


Aliases:    PFM1    

Entrez GeneID:    11108    

Swissprot:    Q9UKN5     

WB Predicted band size:    88kDa    

Host/Isotype:    Mouse IgG1    

Species Reactivity:    Human    

Immunogen:    Purified recombinant fragment of human PRDM4 (AA: 476-575) expressed in E. Coli.    

操作说明

IHC    1/200 - 1/1000    

FCM    1/200 - 1/400    

ELISA    1/10000    

参考文献