POU5F1单克隆抗体[3C1F5]

AccuSift
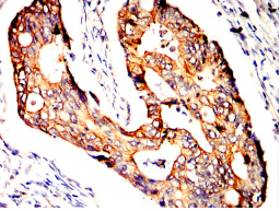
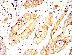
POU5F1 Mouse Monoclonal antibody[3C1F5]
OCT3; OCT4; OTF3; OTF4; OTF-3; Oct-3; Oct-4
货号 名称 规格 价格 货期 数量
AC3232 POU5F1单克隆抗体[3C1F5] 50ug ¥1250 1周
AC3232 POU5F1单克隆抗体[3C1F5] 100ug ¥2200 1周

This gene encodes a transcription factor containing a POU homeodomain that plays a key role in embryonic development and stem cell pluripotency. Aberrant expression of this gene in adult tissues is associated with tumorigenesis. This gene can participate in a translocation with the Ewing's sarcoma gene on chromosome 21, which also leads to tumor formation. Alternative splicing, as well as usage of alternative AUG and non-AUG translation initiation codons, results in multiple isoforms. One of the AUG start codons is polymorphic in human populations. Related pseudogenes have been identified on chromosomes 1, 3, 8, 10, and 12.


Aliases:    OCT3; OCT4; OTF3; OTF4; OTF-3; Oct-3; Oct-4    

Entrez GeneID:    5460    

Swissprot :   Q01860    

WB Predicted band size :   38.5kDa    

Host/Isotype:    Mouse IgG1    

Species Reactivity:    Human    

Immunogen:    Purified recombinant fragment of human (AA: 136-360) expressed in E. Coli.    

操作说明

IHC    1/200 - 1/1000    

FCM    1/200 - 1/400    

ELISA    1/10000    

参考文献