PON1单克隆抗体[4G8D3]

AccuSift
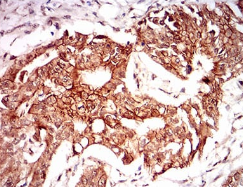
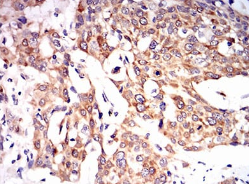
PON1 Mouse Monoclonal antibody[4G8D3]
ESA; PON; MVCD5
货号 名称 规格 价格 货期 数量
AC3229 PON1单克隆抗体[4G8D3] 50ug ¥1250 1周
AC3229 PON1单克隆抗体[4G8D3] 100ug ¥2200 1周

The enzyme encoded by this gene is an arylesterase that mainly hydrolyzes paroxon to produce p-nitrophenol. Paroxon is an organophosphorus anticholinesterase compound that is produced in vivo by oxidation of the insecticide parathion. Polymorphisms in this gene are a risk factor in coronary artery disease. The gene is found in a cluster of three related paraoxonase genes at 7q21.3.


Aliases:    ESA; PON; MVCD5    

Entrez GeneID:    5444    

Swissprot:    P27169    

WB Predicted band size:    39.7kDa    

Host/Isotype:    Mouse IgG1    

Species Reactivity:    Human    

Immunogen:    Purified recombinant fragment of human PON1 (AA: 20-155) expressed in E. Coli.    

操作说明

WB    1/500 - 1/2000    

IHC    1/200 - 1/1000    

IF/ICC    1/200 - 1/1000    

FCM    1/200 - 1/400    

ELISA    1/10000    

参考文献