PMS2单克隆抗体[6P126]

AccuSift
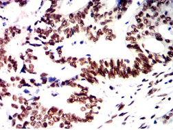
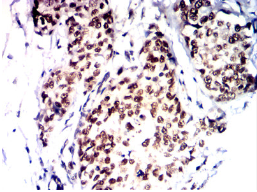
PMS2 Mouse Monoclonal antibody[6P126]
MLH4; PMSL2; HNPCC4; PMS2CL
货号 名称 规格 价格 货期 数量
AC3217 PMS2单克隆抗体[6P126] 50ug ¥1250 1周
AC3217 PMS2单克隆抗体[6P126] 100ug ¥2200 1周

The protein encoded by this gene is a key component of the mismatch repair system that functions to correct DNA mismatches and small insertions and deletions that can occur during DNA replication and homologous recombination. This protein forms heterodimers with the gene product of the mutL homolog 1 (MLH1) gene to form the MutL-alpha heterodimer. The MutL-alpha heterodimer possesses an endonucleolytic activity that is activated following recognition of mismatches and insertion/deletion loops by the MutS-alpha and MutS-beta heterodimers, and is necessary for removal of the mismatched DNA. There is a DQHA(X)2E(X)4E motif found at the C-terminus of the protein encoded by this gene that forms part of the active site of the nuclease. Mutations in this gene have been associated with hereditary nonpolyposis colorectal cancer (HNPCC; also known as Lynch syndrome) and Turcot syndrome.


Aliases:    MLH4; PMSL2; HNPCC4; PMS2CL    

Entrez GeneID:    5395    

Swissprot:    P54278    

WB Predicted band size:    95.8kDa    

Host/Isotype:    Mouse IgG1    

Species Reactivity:    Human    

Immunogen:    Purified recombinant fragment of human PMS2 (AA: (431-580)) expressed in E. Coli.    

操作说明

WB    1/500 - 1/2000    

IHC    1/200-1/1000    

FCM    1/200-1/400    

ELISA    1/10000    

参考文献