PLK1单克隆抗体[3C110]

AccuSift
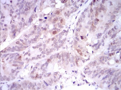
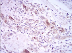
PLK1 Mouse Monoclonal antibody[3C110]
PLK;STPK13
货号 名称 规格 价格 货期 数量
AC3208 PLK1单克隆抗体[3C110] 50ug ¥1250 1周
AC3208 PLK1单克隆抗体[3C110] 100ug ¥2200 1周

Polo-like kinase 1 (Plk1) plays key roles in many aspects of mitosis. Suppression of Plk1 by p21(Waf1) is responsible for p53-dependent protection against adriamycin-induced caspase-independent mitotic death.


Aliases:    PLK;STPK13    

Entrez GeneID:    5347    

Swissprot:    P53350     

WB Predicted band size:    68kDa    

Host/Isotype:    Mouse IgG1    

Species Reactivity:    Human,Mouse,Rat,Monkey    

Immunogen:    Purified recombinant fragment of human PLK1 (AA: 331-508) expressed in E. Coli.    

操作说明

WB    1/500 - 1/2000    

IHC    1/100 - 1/500    

FCM    1/200 - 1/400    

ELISA    1/10000    

参考文献