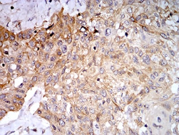
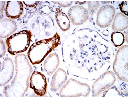
PLD2单克隆抗体[7E4D9]

AccuSift
PLD2 Mouse Monoclonal antibody[7E4D9]
货号 名称 规格 价格 货期 数量
AC3202 PLD2单克隆抗体[7E4D9] 50ug ¥1250 1周
AC3202 PLD2单克隆抗体[7E4D9] 100ug ¥2200 1周

The protein encoded by this gene catalyzes the hydrolysis of phosphatidylcholine to phosphatidic acid and choline. The activity of the encoded enzyme is enhanced by phosphatidylinositol 4,5-bisphosphate and ADP-ribosylation factor-1. This protein localizes to the peripheral membrane and may be involved in cytoskeletal organization, cell cycle control, transcriptional regulation, and/or regulated secretion. Two transcript variants encoding different isoforms have been found for this gene.


Entrez GeneID:    5338    

Swissprot:    O14939    

WB Predicted band size:    106kDa    

Host/Isotype:   Mouse IgG1    

Species Reactivity:    Human    

Immunogen:    Purified recombinant fragment of human PLD2 (AA: 834-933) expressed in E. Coli.    

操作说明

IHC    1/200 - 1/1000    

IF/ICC    1/200 - 1/1000    

FCM    1/200 - 1/400    

ELISA    1/10000    

参考文献