PLCG1单克隆抗体[2F3D]

AccuSift
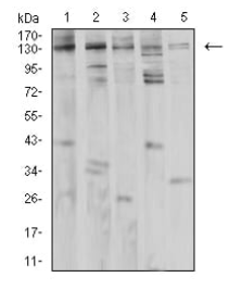
PLCG1 Mouse Monoclonal antibody[2F3D]
PLC1; NCKAP3; PLC-II; PLC148; PLCgamma1
货号 名称 规格 价格 货期 数量
AC3195 PLCG1单克隆抗体[2F3D] 50ug ¥1250 1周
AC3195 PLCG1单克隆抗体[2F3D] 100ug ¥2200 1周

The protein encoded by this gene catalyzes the formation of inositol 1,4,5-trisphosphate and diacylglycerol from phosphatidylinositol 4,5-bisphosphate. This reaction uses calcium as a cofactor and plays an important role in the intracellular transduction of receptor-mediated tyrosine kinase activators. For example, when activated by SRC, the encoded protein causes the Ras guanine nucleotide exchange factor RasGRP1 to translocate to the Golgi, where it activates Ras. Also, this protein has been shown to be a major substrate for heparin-binding growth factor 1 (acidic fibroblast growth factor)-activated tyrosine kinase. Two transcript variants encoding different isoforms have been found for this gene.

Aliases:    PLC1; NCKAP3; PLC-II; PLC148; PLCgamma1    

Entrez GeneID:   5335    

Swissprot :   P19174    

WB Predicted band size :   148.5kDa    

Host/Isotype:    Mouse IgG2a    

Species Reactivity:    Human,Rat    

Immunogen:    Purified recombinant fragment of human PLCG1 (AA: 39-181) expressed in E. Coli.    

操作说明

WB    1/500 - 1/2000    

FCM    1/200 - 1/400    

ELISA    1/10000    

参考文献