PLAU单克隆抗体[6B6A3]

AccuSift
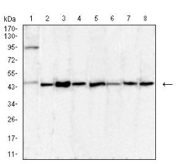
PLAU Mouse Monoclonal antibody[6B6A3]
ATF; QPD; UPA; URK; u-PA; BDPLT5
货号 名称 规格 价格 货期 数量
AC3194 PLAU单克隆抗体[6B6A3] 50ug ¥1250 1周
AC3194 PLAU单克隆抗体[6B6A3] 100ug ¥2200 1周

This gene encodes a secreted serine protease that converts plasminogen to plasmin. The encoded preproprotein is proteolytically processed to generate A and B polypeptide chains. These chains associate via a single disulfide bond to form the catalytically inactive high molecular weight urokinase-type plasminogen activator (HMW-uPA). HMW-uPA can be further processed into the catalytically active low molecular weight urokinase-type plasminogen activator (LMW-uPA). This low molecular weight form does not bind to the urokinase-type plasminogen activator receptor. Mutations in this gene may be associated with Quebec platelet disorder and late-onset Alzheimer's disease. Alternative splicing results in multiple transcript variants, at least one of which encodes an isoform that is proteolytically processed.


Aliases:    ATF; QPD; UPA; URK; u-PA; BDPLT5    

Entrez GeneID:    5328    

Swissprot:    P00749     

WB Predicted band size:    48.5KDa    

Host/Isotype:   Mouse IgG1    

Species Reactivity:    Human    

Immunogen:    Purified recombinant fragment of human PLAU (AA: 107-379) expressed in E. Coli.    

操作说明

WB    1/500 - 1/2000    

IF/ICC    1/200 - 1/1000    

FCM    1/200 - 1/400    

ELISA    1/10000    

参考文献