PIWIL4单克隆抗体[10G9B]

AccuSift
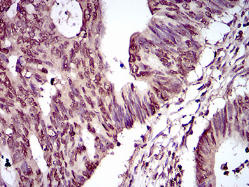
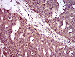
PIWIL4 Mouse Monoclonal antibody[10G9B]
HIWI2; MIWI2
货号 名称 规格 价格 货期 数量
AC3183 PIWIL4单克隆抗体[10G9B] 50ug ¥1250 1周
AC3183 PIWIL4单克隆抗体[10G9B] 100ug ¥2200 1周

PIWIL4 belongs to the Argonaute family of proteins, which function in development and maintenance of germline stem cells


Aliases:    HIWI2; MIWI2    

Entrez GeneID:    143689    

Swissprot:    Q7Z3Z4    

WB Predicted band size:    96.6kDa    

Host/Isotype:    Mouse IgG1    

Species Reactivity :   Human    

Immunogen:    Purified recombinant fragment of human PIWIL4 (AA: 304-434) expressed in E. Coli.    

操作说明

WB    1/500 - 1/2000    

IHC    1/200 - 1/1000    

FCM    1/200 - 1/400    

ELISA    1/10000    

参考文献