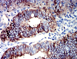
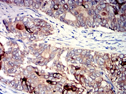
PIGR单克隆抗体[1E2B1]

AccuSift
PIGR Mouse Monoclonal antibody[1E2B1]
货号 名称 规格 价格 货期 数量
AC3170 PIGR单克隆抗体[1E2B1] 50ug ¥1250 1周
AC3170 PIGR单克隆抗体[1E2B1] 100ug ¥2200 1周

This gene is a member of the immunoglobulin superfamily. The encoded poly-Ig receptor binds polymeric immunoglobulin molecules at the basolateral surface of epithelial cells; the complex is then transported across the cell to be secreted at the apical surface. A significant association was found between immunoglobulin A nephropathy and several SNPs in this gene.


Entrez GeneID:    5284    

Swissprot:    P01833    

WB Predicted band size:    83.3kDa    

Host/Isotype:    Mouse IgG1    

Species Reactivity:    Human    

Immunoge:n    Purified recombinant fragment of human PIGR (AA: extra 19-170) expressed in E. Coli.    

操作说明

IHC    1/200 - 1/1000    

ELISA    1/10000    

参考文献