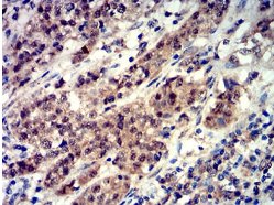
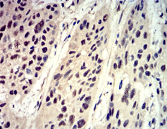
Phospho-4E-BP1 (Ser65)单克隆抗体[1E2E7]

AccuSift
Phospho-4E-BP1 (Ser65) Mouse Monoclonal antibody[1E2E7]
EIF4EBP1; BP-1; 4EBP1; 4E-BP1; PHAS-I
货号 名称 规格 价格 货期 数量
AC3164 Phospho-4E-BP1 (Ser65)单克隆抗体[1E2E7] 50ug ¥1250 1周
AC3164 Phospho-4E-BP1 (Ser65)单克隆抗体[1E2E7] 100ug ¥2200 1周

This gene encodes one member of a family of translation repressor proteins. The protein directly interacts with eukaryotic translation initiation factor 4E (eIF4E), which is a limiting component of the multisubunit complex that recruits 40S ribosomal subunits to the 5' end of mRNAs. Interaction of this protein with eIF4E inhibits complex assembly and represses translation. This protein is phosphorylated in response to various signals including UV irradiation and insulin signaling, resulting in its dissociation from eIF4E and activation of mRNA translation.


Aliases:    EIF4EBP1; BP-1; 4EBP1; 4E-BP1; PHAS-I    

Entrez GeneID:    1978    

Swissprot :   Q13541    

WB Predicted band size:    12.6kDa    

Host/Isotype:    Mouse IgG1    

Species Reactivity:    Human    

Immunogen:    Synthesized peptide of human Phospho-4E-BP1 (Ser65).    

操作说明

IHC    1/200 - 1/1000    

IF/ICC    1/100 - 1/500    

FCM    1/200 - 1/400    

ELISA    1/10000    

参考文献