PGA5单克隆抗体[2C1D5]

AccuSift
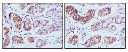
PGA5 Mouse Monoclonal antibody[2C1D5]
Pepsinogen 5; PGA5
货号 名称 规格 价格 货期 数量
AC3154 PGA5单克隆抗体[2C1D5] 50ug ¥1250 1周
AC3154 PGA5单克隆抗体[2C1D5] 100ug ¥2200 1周

PGA5: Pepsinogen 5, group I (pepsinogen A). Pepsinogens are the inactive precursors of pepsin, the major acid protease found in the stomach. Pepsin is one of the main proteolytic enzymes secreted by the gastric mucosa. Pepsin consists of a single polypeptide chain and arises from its precursor, pepsinogen, by removal of a 41 amino acid segment from the N-terminus. Pepsinogen is synthesized in the stomach lining, and hydrochloric acid, also produced by the gastric mucosa, is necessary to convert the inactive enzyme and to maintain the optimum acidity (pH 1-3) for pepsin function. Pepsin is particularly effective in cleaving peptide bonds involving aromatic amino acids. Pepsin shows extremely broad specificity; although bonds involving phenylalanine and leucine are preferred, many others are also cleaved to some extent. PGA5 is a member of the subfamily A1 within the pepsin family and is the predominant endopeptidase in the gastric juice of vertebrates. PGA5 is inhibited by ovUS-1, a uterine serpin.


Aliases:    Pepsinogen 5; Pepsin A    

Entrez GeneID:    5222    

Swissprot:    P0DJD9      

WB Predicted band size:    42kDa    

Host/Isotype:    Mouse IgG1    

Species Reactivity:    Human    

Immunogen:    Purified recombinant fragment of human PGA5 expressed in E. Coli.    

操作说明

WB    1/500 - 1/2000    

IHC    1/200 - 1/1000    

ELISA    1/10000    

参考文献