PEG10单克隆抗体[1B1C4]

AccuSift
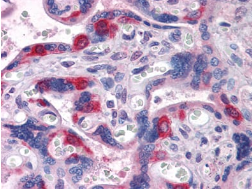
PEG10 Mouse Monoclonal antibody[1B1C4]
Edr; HB-1; Mar2; MEF3L; Mart2; RGAG3; KIAA1051; PEG10
货号 名称 规格 价格 货期 数量
AC3148 PEG10单克隆抗体[1B1C4] 50ug ¥1250 1周
AC3148 PEG10单克隆抗体[1B1C4] 100ug ¥2200 1周

PEG10: paternally expressed 10. This gene includes two overlapping reading frames of the same transcript encoding distinct isoforms. The shorter isoform has a CCHC-type zinc finger motif containing a sequence characteristic of gag proteins of most retroviruses and some retrotransposons, and it functions in part by interacting with members of the TGF-beta receptor family. The longer isoform has the active-site DSG consensus sequence of the protease domain of pol proteins. The longer isoform is the result of -1 translational frameshifting that is also seen in some retroviruses. Expression of these two isoforms only comes from the paternal allele due to imprinting. Increased gene _expression (as observed by an increase in mRNA levels) is associated with hepatocellular carcinomas.

Aliases:    Edr; HB-1; Mar2; MEF3L; Mart2; RGAG3; KIAA1051    

Entrez GeneID:    23089    

Swissprot:    Q86TG7    

Host/Isotype:    Mouse IgG1    

Species Reactivity:    Human    

Immunogen:    Purified recombinant fragment of PEG10 (aa1-120) expressed in E. Coli.    

操作说明

IHC    1/200 - 1/1000    

IF/ICC    1/200 - 1/1000    

ELISA    1/10000    

参考文献