PDLIM7单克隆抗体[3B3B3]

AccuSift
PDLIM7 Mouse Monoclonal antibody[3B3B3]
LMP1; LMP3
货号 名称 规格 价格 货期 数量
AC3142 PDLIM7单克隆抗体[3B3B3] 50ug ¥1250 1周
AC3142 PDLIM7单克隆抗体[3B3B3] 100ug ¥2200 1周

The protein encoded by this gene is representative of a family of proteins composed of conserved PDZ and LIM domains. LIM domains are proposed to function in protein-protein recognition in a variety of contexts including gene transcription and development and in cytoskeletal interaction. The LIM domains of this protein bind to protein kinases, whereas the PDZ domain binds to actin filaments. The gene product is involved in the assembly of an actin filament-associated complex essential for transmission of ret/ptc2 mitogenic signaling. The biological function is likely to be that of an adapter, with the PDZ domain localizing the LIM-binding proteins to actin filaments of both skeletal muscle and nonmuscle tissues. Alternative splicing of this gene results in multiple transcript variants.


Aliases:    LMP1; LMP3    

Entrez GeneID:    9260    

Swissprot:    Q9NR12       

WB Predicted band size :   49.8kDa    

Host/Isotype:    Mouse IgG1    

Species Reactivity :   Human    

Immunogen:    Purified recombinant fragment of human PDLIM7 (AA: 86-280) expressed in HEK293-6e cells supernatant.    

操作说明

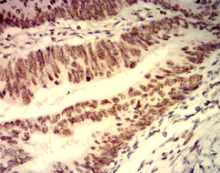
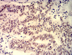
IHC    1/200 - 1/1000    

IF/ICC    1/200 - 1/1000    

FCM    1/200 - 1/400    

ELISA    1/10000    

参考文献