PDHA1单克隆抗体[4E92]

AccuSift
PDHA1 Mouse Monoclonal antibody[4E92]
PDHA; PDHAD; PHE1A; PDHCE1A
货号 名称 规格 价格 货期 数量
AC3137 PDHA1单克隆抗体[4E92] 50ug ¥1250 1周
AC3137 PDHA1单克隆抗体[4E92] 100ug ¥2200 1周

The pyruvate dehydrogenase (PDH) complex is a nuclear-encoded mitochondrial multienzyme complex that catalyzes the overall conversion of pyruvate to acetyl-CoA and CO(2), and provides the primary link between glycolysis and the tricarboxylic acid (TCA) cycle. The PDH complex is composed of multiple copies of three enzymatic components: pyruvate dehydrogenase (E1), dihydrolipoamide acetyltransferase (E2) and lipoamide dehydrogenase (E3). The E1 enzyme is a heterotetramer of two alpha and two beta subunits. This gene encodes the E1 alpha 1 subunit containing the E1 active site, and plays a key role in the function of the PDH complex. Mutations in this gene are associated with pyruvate dehydrogenase E1-alpha deficiency and X-linked Leigh syndrome. Alternatively spliced transcript variants encoding different isoforms have been found for this gene.


Aliases :   PDHA; PDHAD; PHE1A; PDHCE1A    

Entrez GeneID:    5160    

Swissprot:    P08559    

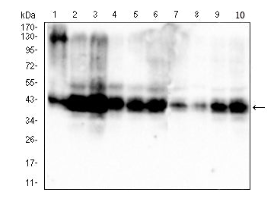
WB Predicted band size:    43 kDa    

Host/Isotype:   Mouse IgG2a    

Species Reactivity:    Human, Mouse, Rat    

Immunogen:    Purified recombinant fragment of human PDHA1(AA: 241-390) expressed in E. Coli.    

操作说明

WB    1/500 - 1/2000    

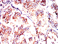
IHC    1/200 - 1/1000    

IF/ICC    1/50 - 1/200    

FCM    1/200 - 1/400    

ELISA    1/10000    

参考文献