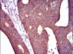
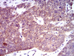
PDE1B单克隆抗体[5C43]

AccuSift
PDE1B Mouse Monoclonal antibody[5C43]
PDE1B1; PDES1B
货号 名称 规格 价格 货期 数量
AC3127 PDE1B单克隆抗体[5C43] 50ug ¥1250 1周
AC3127 PDE1B单克隆抗体[5C43] 100ug ¥2200 1周

The protein encoded by this gene belongs to the cyclic nucleotide phosphodiesterase (PDE) family, and PDE1 subfamily. Members of the PDE1 family are calmodulin-dependent PDEs that are stimulated by a calcium-calmodulin complex. This PDE has dual-specificity for the second messengers, cAMP and cGMP, with a preference for cGMP as a substrate. cAMP and cGMP function as key regulators of many important physiological processes. Alternatively spliced transcript variants encoding different isoforms have been described for this gene.

Aliases :   PDE1B1; PDES1B    

Entrez GeneID:    5153    

Swissprot :   Q01064    

WB Predicted band size:    61.4kDa    

Host/Isotype:    Mouse IgG1    

Species Reactivity:    Human    

Immunogen:   Purified recombinant fragment of human PDE1B (AA: 370-536 ) expressed in E. Coli.    

操作说明

IHC    1/200 - 1/1000    

FCM    1/200 - 1/400    

ELISA    1/10000    

参考文献