PCNA单克隆抗体[7H4F5]

AccuSift
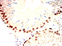
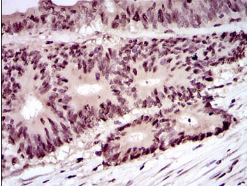
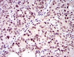
PCNA Mouse Monoclonal antibody[7H4F5]
货号 名称 规格 价格 货期 数量
AC3117 PCNA单克隆抗体[7H4F5] 50ug ¥1250 1周
AC3117 PCNA单克隆抗体[7H4F5] 100ug ¥2200 1周

The protein encoded by this gene is found in the nucleus and is a cofactor of DNA polymerase delta. The encoded protein acts as a homotrimer and helps increase the processivity of leading strand synthesis during DNA replication. In response to DNA damage, this protein is ubiquitinated and is involved in the RAD6-dependent DNA repair pathway. Two transcript variants encoding the same protein have been found for this gene. Pseudogenes of this gene have been described on chromosome 4 and on the X chromosome.

Entrez GeneID:    5111    

Swissprot:    P12004     

WB Predicted band size:    28.7kDa    

Host/Isotype:   Mouse IgG1    

Species Reactivity:    Human,Mouse,Rat,Rabbit,Monkey    

Immunogen:    Purified recombinant fragment of human PCNA (AA: 53-196 ) expressed in E. Coli.    

操作说明

WB    1/500 - 1/2000    

IHC    1/100 - 1/500    

FCM    1/200 - 1/400    

ELISA    1/10000    

参考文献