PBK单克隆抗体[2C8E1]

AccuSift
PBK Mouse Monoclonal antibody[2C8E1]
SPK; CT84; TOPK; Nori-3
货号 名称 规格 价格 货期 数量
AC3112 PBK单克隆抗体[2C8E1] 50ug ¥1250 1周
AC3112 PBK单克隆抗体[2C8E1] 100ug ¥2200 1周

This genes encodes a serine/threonine kinase related to the dual specific mitogen-activated protein kinase kinase (MAPKK) family. Evidence suggests that mitotic phosphorylation is required for its catalytic activity. This mitotic kinase may be involved in the activation of lymphoid cells and support testicular functions, with a suggested role in the process of spermatogenesis.


Aliases:    SPK; CT84; TOPK; Nori-3    

Entrez GeneID:    55872    

Swissprot:    Q96KB5    

WB Predicted band size:    36kDa    

Host/Isotype:    Mouse IgG2b    

Species Reactivity:    Human    

Immunogen :   Purified recombinant fragment of human PBK expressed in E. Coli.    


操作说明

WB    1/500 - 1/2000    

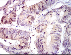
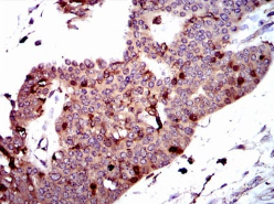
IHC    1/200 - 1/1000    

IF/ICC    1/200 - 1/1000    

FCM    1/200 - 1/400    

ELISA    1/10000    

参考文献