PAX8单克隆抗体[1A1D3]

AccuSift
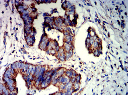
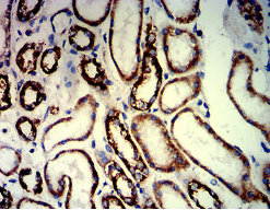
PAX8 Mouse Monoclonal antibody[1A1D3]
货号 名称 规格 价格 货期 数量
AC3107 PAX8单克隆抗体[1A1D3] 50ug ¥1250 1周
AC3107 PAX8单克隆抗体[1A1D3] 100ug ¥2200 1周

This gene encodes a member of the paired box (PAX) family of transcription factors. Members of this gene family typically encode proteins that contain a paired box domain, an octapeptide, and a paired-type homeodomain. This nuclear protein is involved in thyroid follicular cell development and expression of thyroid-specific genes. Mutations in this gene have been associated with thyroid dysgenesis, thyroid follicular carcinomas and atypical follicular thyroid adenomas. Alternatively spliced transcript variants encoding different isoforms have been described.


Entrez GeneID:    7849    

Swissprot :   Q06710    

WB Predicted band size:    48.2kDa    

Host/Isotype:    Mouse IgG1    

Species Reactivity:    Human    

Immunogen:    Purified recombinant fragment of human PAX8 (AA: 60-261) expressed in E. Coli.    

操作说明

WB    1/500 - 1/2000    

IHC    1/200-1/1000    

FCM    1/200-1/400    

ELISA    1/10000    

参考文献