PAX6单克隆抗体[1F6G2]

AccuSift
PAX6 Mouse Monoclonal antibody[1F6G2]
AN; AN2; FVH1; MGDA; WAGR; D11S812E
货号 名称 规格 价格 货期 数量
AC3106 PAX6单克隆抗体[1F6G2] 50ug ¥1250 1周
AC3106 PAX6单克隆抗体[1F6G2] 100ug ¥2200 1周

This gene encodes paired box gene 6, one of many human homologs of the Drosophila melanogaster gene prd. In addition to the hallmark feature of this gene family, a conserved paired box domain, the encoded protein also contains a homeo box domain. Both domains are known to bind DNA and function as regulators of gene transcription. This gene is expressed in the developing nervous system, and in developing eyes. Mutations in this gene are known to cause ocular disorders such as aniridia and Peter's anomaly. Alternatively spliced transcript variants encoding multiple isoforms have been observed for this gene.


Aliases:    AN; AN2; FVH1; MGDA; WAGR; D11S812E    

Entrez GeneID:    5080    

Swissprot :   P26367    

WB Predicted band size :   46.7kDa    

Host/Isotype:    Mouse IgG1    

Species Reactivity:    Human    

Immunogen:    Purified recombinant fragment of human PAX6 (AA: 1-122) expressed in E. Coli.    


操作说明

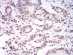
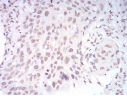
IHC    1/200 - 1/1000    

FCM    1/200 - 1/400    

ELISA    1/10000    

参考文献