PAX5单克隆抗体[7D3D8]

AccuSift
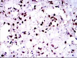
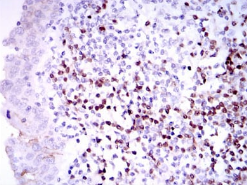
PAX5 Mouse Monoclonal antibody[7D3D8]
BSAP
货号 名称 规格 价格 货期 数量
AC3104 PAX5单克隆抗体[7D3D8] 50ug ¥1250 1周
AC3104 PAX5单克隆抗体[7D3D8] 100ug ¥2200 1周

This gene encodes a member of the paired box (PAX) family of transcription factors. The central feature of this gene family is a novel, highly conserved DNA-binding motif, known as the paired box. PAX proteins are important regulators in early development, and alterations in the expression of their genes are thought to contribute to neoplastic transformation. This gene encodes the B-cell lineage specific activator protein that is expressed at early, but not late stages of B-cell differentiation. Its expression has also been detected in developing CNS and testis and so the encoded protein may also play a role in neural development and spermatogenesis. This gene is located at 9p13, which is involved in t(9;14)(p13;q32) translocations recurring in small lymphocytic lymphomas of the plasmacytoid subtype, and in derived large-cell lymphomas. This translocation brings the potent E-mu enhancer of the IgH gene into close proximity of the PAX5 promoter, suggesting that the deregulation of transcription of this gene contributes to the pathogenesis of these lymphomas. Alternatively spliced transcript variants encoding different isoforms have been described but their biological validity has not been determined.


Aliases :   BSAP    

Entrez GeneID:    5079    

Swissprot:    Q02548     

WB Predicted band size:    45kDa    

Host/Isotype :   Mouse IgG1    

Species Reactivity:    Human    

Immunogen:    Purified recombinant fragment of human PAX5 (AA: 235-382) expressed in E. Coli.    

操作说明

IHC    1/200 - 1/1000    

ELISA    1/10000    

参考文献