P2RY8单克隆抗体[1G5A1]

AccuSift
P2RY8 Mouse Monoclonal antibody[1G5A1]
P2Y8
货号 名称 规格 价格 货期 数量
AC3076 P2RY8单克隆抗体[1G5A1] 50ug ¥1250 1周
AC3076 P2RY8单克隆抗体[1G5A1] 100ug ¥2200 1周

The protein encoded by this gene belongs to the family of G-protein coupled receptors, that are preferentially activated by adenosine and uridine nucleotides. This gene is moderately expressed in undifferentiated HL60 cells, and is located on both chromosomes X and Y.



Aliases:    P2Y8    

Entrez GeneID:    286530    

Swissprot:    Q86VZ1    

WB Predicted band size:    40.6kDa    

Host/Isotype:    Mouse IgG2a    

Species Reactivity:    Human    

Immunogen:    Purified recombinant fragment of human P2RY8 (AA: extra mix) expressed in E. Coli.    

操作说明

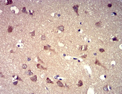
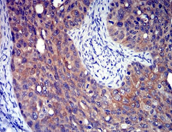
IHC    1/200 - 1/1000    

IF/ICC    1/100 - 1/500    

FCM    1/200 - 1/400    

ELISA    1/10000    

参考文献