P2RY4单克隆抗体[3B4C1]

AccuSift
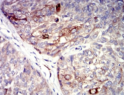
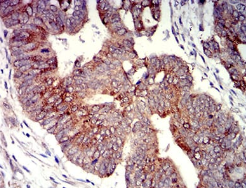
P2RY4 Mouse Monoclonal antibody[3B4C1]
NRU; P2P; UNR; P2Y4
货号 名称 规格 价格 货期 数量
AC3074 P2RY4单克隆抗体[3B4C1] 50ug ¥1250 1周
AC3074 P2RY4单克隆抗体[3B4C1] 100ug ¥2200 1周

The product of this gene belongs to the family of G-protein coupled receptors. This family has several receptor subtypes with different pharmacological selectivity, which overlaps in some cases, for various adenosine and uridine nucleotides. This receptor is responsive to uridine nucleotides, partially responsive to ATP, and not responsive to ADP.



Aliases:    NRU; P2P; UNR; P2Y4    

Entrez GeneID:    5030    

Swissprot :   P51582     

WB Predicted band size:    41kDa    

Host/Isotype :   Mouse IgG1    

Species Reactivity :   Human    

Immunogen :   Purified recombinant fragment of human P2RY4 (AA: extra mix) expressed in E. Coli.    

操作说明

WB    1/500 - 1/2000    

IHC    1/200 - 1/1000    

ELISA    1/10000    

参考文献