P2RY14单克隆抗体[8A11B]

AccuSift
P2RY14 Mouse Monoclonal antibody[8A11B]
P2Y14; BPR105; GPR105
货号 名称 规格 价格 货期 数量
AC3072 P2RY14单克隆抗体[8A11B] 50ug ¥1250 1周
AC3072 P2RY14单克隆抗体[8A11B] 100ug ¥2200 1周

The product of this gene belongs to the family of G-protein coupled receptors, which contains several receptor subtypes with different pharmacological selectivity for various adenosine and uridine nucleotides. This receptor is a P2Y purinergic receptor for UDP-glucose and other UDP-sugars coupled to G-proteins. It has been implicated in extending the known immune system functions of P2Y receptors by participating in the regulation of the stem cell compartment, and it may also play a role in neuroimmune function. Two transcript variants encoding the same protein have been identified for this gene.

   


Aliases :   P2Y14; BPR105; GPR105    

Entrez GeneID:    9934    

Swissprot :   Q15391    

WB Predicted band size :   39kDa    

Host/Isotype :   Mouse IgG2b    

Species Reactivity :   Human    

Immunogen:    Purified recombinant fragment of human P2RY14 (AA: extra mix) expressed in E. Coli.    

操作说明

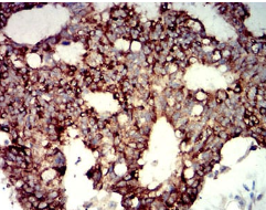
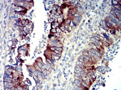
IHC    1/200 - 1/1000    

FCM    1/200 - 1/400    

ELISA    1/10000    

参考文献