OTX2单克隆抗体[1H12C]

AccuSift
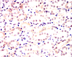
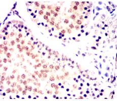
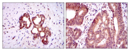
OTX2 Mouse Monoclonal antibody[1H12C]
MCOPS5; MGC45000
货号 名称 规格 价格 货期 数量
AC3055 OTX2单克隆抗体[1H12C] 50ug ¥1250 1周
AC3055 OTX2单克隆抗体[1H12C] 100ug ¥2200 1周

This gene encodes a member of the bicoid sub-family of homeodomain-containing transcription factors. The encoded protein acts as a transcription factor and may play a role in brain and sensory organ development. A similar protein in mice is required for proper forebrain development.Tissue specificity: Expressed in brain.



Aliases:    MCOPS5; MGC45000    

Entrez GeneID :   5015    

Swissprot:    P32243       

WB Predicted band size:    32kDa    

Host/Isotype :   Mouse IgG1    

Species Reactivity:    Human,Mouse,Rat,Rabbit,Monkey    

Immunogen :   Purified recombinant fragment of human OTX2 expressed in E. Coli.    

操作说明

WB    1/500 - 1/2000    

IHC    1/200 - 1/1000    

IF/ICC    1/200 - 1/1000    

FCM    1/200 - 1/400    

ELISA    1/10000    

参考文献