NR6A1单克隆抗体[4G10]

AccuSift
NR6A1 Mouse Monoclonal antibody[4G10]
RTR; GCNF; NR61; GCNF1
货号 名称 规格 价格 货期 数量
AC3029 NR6A1单克隆抗体[4G10] 50ug ¥1250 1周
AC3029 NR6A1单克隆抗体[4G10] 100ug ¥2200 1周

This gene encodes an orphan nuclear receptor which is a member of the nuclear hormone receptor family. Its expression pattern suggests that it may be involved in neurogenesis and germ cell development. The protein can homodimerize and bind DNA, but in vivo targets have not been identified. The gene expresses at least alternatively spliced transcript variants.


Aliases:    RTR; GCNF; NR61; GCNF1    

Entrez GeneID:    2649    

Swissprot:    Q15406     

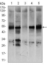
WB Predicted band size :   54.3kDa    

Host/Isotype :   Mouse IgG1    

Species Reactivity:    Human    

Immunogen :   Purified recombinant fragment of human NR6A1 (AA: 65-118) expressed in E. Coli.    

操作说明

WB    1/500 - 1/2000    

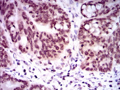
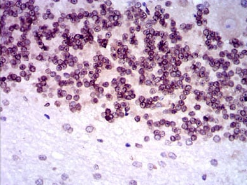
IHC    1/200 - 1/1000    

IF/ICC    1/400    

FCM    1/200 - 1/400    

ELISA    1/10000    

参考文献