NPM3单克隆抗体[1B4C5]

AccuSift
NPM3 Mouse Monoclonal antibody[1B4C5]
PORMIN; TMEM123
货号 名称 规格 价格 货期 数量
AC3018 NPM3单克隆抗体[1B4C5] 50ug ¥1250 1周
AC3018 NPM3单克隆抗体[1B4C5] 100ug ¥2200 1周

The protein encoded by this gene is related to the nuclear chaperone phosphoproteins, nucleoplasmin and nucleophosmin. This protein is strongly expressed in diverse cell types where it localizes primarily to the nucleus. Based on its similarity to nucleoplasmin and nucleophosmin, this protein likely functions as a molecular chaperone in the cell nucleus.

    

Aliases:    PORMIN; TMEM123    

Entrez GeneID:    10360    

Swissprot :   O75607    

WB Predicted band size:    19kDa    

Host/Isotype :   Mouse IgG1    

Species Reactivity:    Human, Mouse    

Immunogen :   Purified recombinant fragment of human NPM3 (AA: full 1-178) expressed in E. Coli.    

操作说明

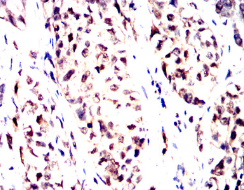
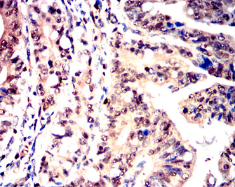
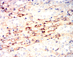
IHC    1/200 - 1/1000    

FCM    1/200 - 1/400    

ELISA    1/10000    

参考文献