NPM2单克隆抗体[2B431]

AccuSift
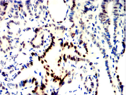
NPM2 Mouse Monoclonal antibody[2B431]
货号 名称 规格 价格 货期 数量
AC3017 NPM2单克隆抗体[2B431] 50ug ¥1250 1周
AC3017 NPM2单克隆抗体[2B431] 100ug ¥2200 1周

NPM2 (Nucleophosmin/Nucleoplasmin 2) is a Protein Coding gene. Gene Ontology (GO) annotations related to this gene include nucleic acid binding and enzyme binding. An important paralog of this gene is NPM1.

  

Entrez GeneID:    10361    

Swissprot:    Q86SE8     

WB Predicted band size:    24.1kDa    

Host/Isotype:    Mouse IgG1    

Species Reactivity :   Human    

Immunogen :   Purified recombinant fragment of human NPM2 (AA: 1-214) expressed in E. Coli.    

操作说明

IHC    1/200 - 1/1000    

FCM    1/200 - 1/400    

ELISA    1/10000    

参考文献