NOTCH4单克隆抗体[6D8D4]

AccuSift
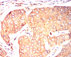
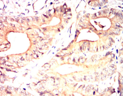
NOTCH4 Mouse Monoclonal antibody[6D8D4]
INT3
货号 名称 规格 价格 货期 数量
AC3011 NOTCH4单克隆抗体[6D8D4] 50ug ¥1250 1周
AC3011 NOTCH4单克隆抗体[6D8D4] 100ug ¥2200 1周

This gene encodes a member of the NOTCH family of proteins. Members of this Type I transmembrane protein family share structural characteristics including an extracellular domain consisting of multiple epidermal growth factor-like (EGF) repeats, and an intracellular domain consisting of multiple different domain types. Notch signaling is an evolutionarily conserved intercellular signaling pathway that regulates interactions between physically adjacent cells through binding of Notch family receptors to their cognate ligands. The encoded preproprotein is proteolytically processed in the trans-Golgi network to generate two polypeptide chains that heterodimerize to form the mature cell-surface receptor. This receptor may play a role in vascular, renal and hepatic development. Mutations in this gene may be associated with schizophrenia. Alternative splicing results in multiple transcript variants, at least one of which encodes an isoform that is proteolytically processed.



Aliases:    INT3    

Entrez GeneID:    4855    

Swissprot :   Q99466     

WB Predicted band size :   209.6kDa    

Host/Isotype :   Mouse IgG2a    

Species Reactivity:    Human    

Immunogen:    Purified recombinant fragment of human NOTCH4 (AA: extra 118-357) expressed in E. Coli.    

操作说明

IHC    1/200 - 1/1000    

FCM    1/200 - 1/400    

ELISA    1/10000    

参考文献