NOTCH2单克隆抗体[2D1B2]

AccuSift
NOTCH2 Mouse Monoclonal antibody[2D1B2]
hN2; AGS2; HJCYS
货号 名称 规格 价格 货期 数量
AC3006 NOTCH2单克隆抗体[2D1B2] 50ug ¥1250 1周
AC3006 NOTCH2单克隆抗体[2D1B2] 100ug ¥2200 1周

This gene encodes a member of the Notch family. Members of this Type 1 transmembrane protein family share structural characteristics including an extracellular domain consisting of multiple epidermal growth factor-like (EGF) repeats, and an intracellular domain consisting of multiple, different domain types. Notch family members play a role in a variety of developmental processes by controlling cell fate decisions. The Notch signaling network is an evolutionarily conserved intercellular signaling pathway which regulates interactions between physically adjacent cells. In Drosophilia, notch interaction with its cell-bound ligands (delta, serrate) establishes an intercellular signaling pathway that plays a key role in development. Homologues of the notch-ligands have also been identified in human, but precise interactions between these ligands and the human notch homologues remain to be determined. This protein is cleaved in the trans-Golgi network, and presented on the cell surface as a heterodimer. This protein functions as a receptor for membrane bound ligands, and may play a role in vascular, renal and hepatic development. Two transcript variants encoding different isoforms have been found for this gene.



Aliases:    hN2; AGS2; HJCYS    

Entrez GeneID:    4853    

Swissprot :   Q04721      

WB Predicted band size:    265.4kDa    

Host/Isotype :   Mouse IgG2a    

Species Reactivity:    Human    

Immunogen :   Purified recombinant fragment of human NOTCH2 (AA: extra 1391-1677) expressed in E. Coli.    

操作说明

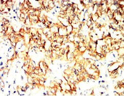
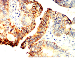
IHC    1/200 - 1/1000    

IF/ICC    1/50 - 1/200    

FCM    1/200 - 1/400    

ELISA    1/10000    

参考文献