NOS2单克隆抗体[4E5F3]

AccuSift
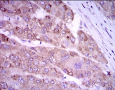
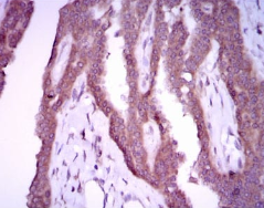
NOS2 Mouse Monoclonal antibody[4E5F3]
NOS; INOS; NOS2A; HEP-NOS
货号 名称 规格 价格 货期 数量
AC3005 NOS2单克隆抗体[4E5F3] 50ug ¥1250 1周
AC3005 NOS2单克隆抗体[4E5F3] 100ug ¥2200 1周

Nitric oxide is a reactive free radical which acts as a biologic mediator in several processes, including neurotransmission and antimicrobial and antitumoral activities. This gene encodes a nitric oxide synthase which is expressed in liver and is inducible by a combination of lipopolysaccharide and certain cytokines. Three related pseudogenes are located within the Smith-Magenis syndrome region on chromosome 17.



Aliases:    NOS; INOS; NOS2A; HEP-NOS    

Entrez GeneID:    4843    

Swissprot :   P35228    

WB Predicted band size:    131kDa    

Host/Isotype :   Mouse IgG1    

Species Reactivity :   Human,Mouse,Rat,Monkey    

Immunogen:    Purified recombinant fragment of human NOS2 expressed in E. Coli.    

操作说明

IHC    1/200 - 1/1000    

FCM    1/200 - 1/400    

ELISA    1/10000    


参考文献