NKX3A单克隆抗体[4H4C3]

AccuSift
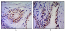
NKX3A Mouse Monoclonal antibody[4H4C3]
NKX3; BAPX2; NKX3A; NKX3.1; NKX3-1
货号 名称 规格 价格 货期 数量
AC3001 NKX3A单克隆抗体[4H4C3] 50ug ¥1250 1周
AC3001 NKX3A单克隆抗体[4H4C3] 100ug ¥2200 1周

Nkx3.1 is a transcription factor that may play an important role in regulating proliferation of glandular epithelium and in the formation of ducts in the prostate. It has been thought to be one of the target genes of the 8p21 loss of heterozygosity, common in prostate cancer. But neither disruption of the coding region of the gene, nor mutations have been found in prostate cancer.



Aliases:    NKX3; BAPX2; NKX3A; NKX3.1; NKX3-1    

Entrez GeneID:    4824    

Swissprot :   Q99801     

WB Predicted band size:    26.3kDa    

Host/Isotype :   Mouse IgG2b    

Species Reactivity:    Human    

Immunogen:    Purified recombinant fragment of human NKX3A expressed in E. Coli.    

操作说明

WB    1/500 - 1/2000    

IHC    1/200 - 1/1000    

FCM    1/200 - 1/400    

ELISA    1/10000    

参考文献