NFKBIA单克隆抗体[4DLC4]

AccuSift
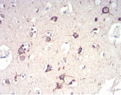
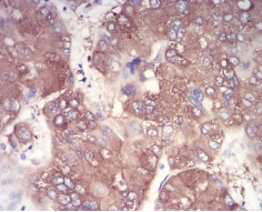
NFKBIA Mouse Monoclonal antibody[4DLC4]
IKBA; MAD-3; NFKBI
货号 名称 规格 价格 货期 数量
AC2993 NFKBIA单克隆抗体[4DLC4] 50ug ¥1250 1周
AC2993 NFKBIA单克隆抗体[4DLC4] 100ug ¥2200 1周

This gene encodes a member of the NF-kappa-B inhibitor family, which contain multiple ankrin repeat domains. The encoded protein interacts with REL dimers to inhibit NF-kappa-B/REL complexes which are involved in inflammatory responses. The encoded protein moves between the cytoplasm and the nucleus via a nuclear localization signal and CRM1-mediated nuclear export. Mutations in this gene have been found in ectodermal dysplasia anhidrotic with T-cell immunodeficiency autosomal dominant disease.



Aliases:    IKBA; MAD-3; NFKBI    

Entrez GeneID:    4792    

Swissprot:    P25963     

WB Predicted band size:    35.6kDa    

Host/Isotype:    Mouse IgG1    

Species Reactivity:    Human    

Immunogen :   Purified recombinant fragment of human NFKBIA (AA: 150-291) expressed in E. Coli.    

操作说明

IHC    1/200 - 1/1000    

IF/ICC    1/200 - 1/1000    

FCM    1/200 - 1/400    

ELISA    1/10000    

参考文献