Neurod单克隆抗体[6E912]

AccuSift
Neurod Mouse Monoclonal antibody[6E912]
BETA2; BHF-1; MODY6; NEUROD; bHLHa3
货号 名称 规格 价格 货期 数量
AC2982 Neurod单克隆抗体[6E912] 50ug ¥1250 1周
AC2982 Neurod单克隆抗体[6E912] 100ug ¥2200 1周

This gene encodes a member of the NeuroD family of basic helix-loop-helix (bHLH) transcription factors. The protein forms heterodimers with other bHLH proteins and activates transcription of genes that contain a specific DNA sequence known as the E-box. It regulates expression of the insulin gene, and mutations in this gene result in type II diabetes mellitus.



Aliases:    BETA2; BHF-1; MODY6; NEUROD; bHLHa3    

Entrez GeneID:    4760    

Swissprot:    Q13562     

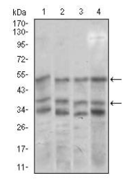
WB Predicted band size:    40kDa    

Host/Isotype :   Mouse IgG1    

Species Reactivity:    Human,Mouse,Monkey    

Immunogen :   Purified recombinant fragment of human Neurod (AA: 26-91 ) expressed in E. Coli.    

操作说明

WB    1/500 - 1/2000    

ELISA    1/10000    

参考文献