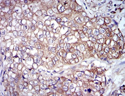
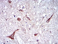
NEFL单克隆抗体[2GE10]

AccuSift
NEFL Mouse Monoclonal antibody[2GE10]
NFL; NF-L; NF68; CMT1F; CMT2E
货号 名称 规格 价格 货期 数量
AC2976 NEFL单克隆抗体[2GE10] 50ug ¥1250 1周
AC2976 NEFL单克隆抗体[2GE10] 100ug ¥2200 1周

Neurofilaments are type IV intermediate filament heteropolymers composed of light, medium, and heavy chains. Neurofilaments comprise the axoskeleton and they functionally maintain the neuronal caliber. They may also play a role in intracellular transport to axons and dendrites. This gene encodes the light chain neurofilament protein. Mutations in this gene cause Charcot-Marie-Tooth disease types 1F (CMT1F) and 2E (CMT2E), disorders of the peripheral nervous system that are characterized by distinct neuropathies. A pseudogene has been identified on chromosome Y.



Aliases:    NFL; NF-L; NF68; CMT1F; CMT2E    

Entrez GeneID:    4747    

Swissprot:    P07196     

WB Predicted band size :   62kDa    

Host/Isotype:    Mouse IgG1    

Species Reactivity :   Human    

Immunogen:    Purified recombinant fragment of human NEFL expressed in E. Coli.    

操作说明

WB    1/500 - 1/2000    

IHC    1/200 - 1/1000    

IF/ICC    1/200 - 1/1000    

FCM    1/200 - 1/400    

ELISA    1/10000    

参考文献