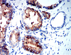
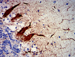
NEFH单克隆抗体[2C12F]

AccuSift
NEFH Mouse Monoclonal antibody[2C12F]
NFH; CMT2CC
货号 名称 规格 价格 货期 数量
AC2971 NEFH单克隆抗体[2C12F] 50ug ¥1250 1周
AC2971 NEFH单克隆抗体[2C12F] 100ug ¥2200 1周

Neurofilaments are type IV intermediate filament heteropolymers composed of light, medium, and heavy chains. Neurofilaments comprise the axoskeleton and functionally maintain neuronal caliber. They may also play a role in intracellular transport to axons and dendrites. This gene encodes the heavy neurofilament protein. This protein is commonly used as a biomarker of neuronal damage and susceptibility to amyotrophic lateral sclerosis (ALS) has been associated with mutations in this gene.



Aliases:    NFH; CMT2CC    

Entrez GeneID:    4744    

Swissprot :   P12036    

WB Predicted band size :   112.4kDa    

Host/Isotype:    Mouse IgG1    

Species Reactivity :   Human    

Immunogen:    Purified recombinant fragment of human NEFH (AA: 2-251) expressed in E. Coli.    

操作说明

IHC    1/200-1/1000    

ELISA    1/10000    

参考文献