NCK1单克隆抗体[5B7C2]

AccuSift
NCK1 Mouse Monoclonal antibody[5B7C2]
NCK; nck-1; NCKalpha
货号 名称 规格 价格 货期 数量
AC2962 NCK1单克隆抗体[5B7C2] 50ug ¥1250 1周
AC2962 NCK1单克隆抗体[5B7C2] 100ug ¥2200 1周

The protein encoded by this gene is one of the signaling and transforming proteins containing Src homology 2 and 3 (SH2 and SH3) domains. It is located in the cytoplasm and is an adaptor protein involved in transducing signals from receptor tyrosine kinases to downstream signal recipients such as RAS. Alternatively spliced transcript variants encoding different isoforms have been found.



Aliases :   NCK; nck-1; NCKalpha    

Entrez GeneID:    4690    

Swissprot:    P16333        

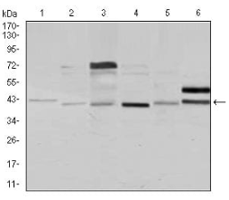
WB Predicted band size :   47kDa    

Host/Isotype :   Mouse IgG1    

Species Reactivity:    Human,Monkey    

Immunogen:    Purified recombinant fragment of human NCK1 expressed in E. Coli.    

操作说明

WB    1/500 - 1/2000    

IHC    1/200 - 1/1000    

FCM    1/200 - 1/400    

ELISA    1/10000    

参考文献