NCAM1单克隆抗体[5B1G1]

AccuSift
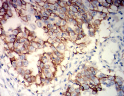
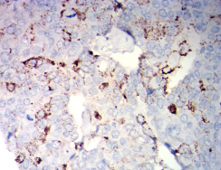
NCAM1 Mouse Monoclonal antibody[5B1G1]
CD56; NCAM; MSK40
货号 名称 规格 价格 货期 数量
AC2960 NCAM1单克隆抗体[5B1G1] 50ug ¥1250 1周
AC2960 NCAM1单克隆抗体[5B1G1] 100ug ¥2200 1周

This gene encodes a cell adhesion protein which is a member of the immunoglobulin superfamily. The encoded protein is involved in cell-to-cell interactions as well as cell-matrix interactions during development and differentiation. The encoded protein has been shown to be involved in development of the nervous system, and for cells involved in the expansion of T cells and dendritic cells which play an important role in immune surveillance. Alternative splicing results in multiple transcript variants.

   


Aliases :   CD56; NCAM; MSK39    

Entrez GeneID:    4684    

Swissprot:    P13591    

WB Predicted band size:    94.6kDa    

Host/Isotype :   Mouse IgG1    

Species Reactivity:   Human, Mouse, Monkey    

Immunogen:    Purified recombinant fragment of human NCAM1 (AA: extra(568-708)) expressed in E. Coli.    

操作说明

WB    1/500 - 1/2000    

IHC    1/200-1/1000    

FCM    1/200-1/400    

ELISA    1/10000    

参考文献