NBN单克隆抗体[7E4C2]

AccuSift
NBN Mouse Monoclonal antibody[7E4C2]
ATV; NBS; P95; NBS1; AT-V1; AT-V2
货号 名称 规格 价格 货期 数量
AC2957 NBN单克隆抗体[7E4C2] 50ug ¥1250 1周
AC2957 NBN单克隆抗体[7E4C2] 100ug ¥2200 1周

Mutations in this gene are associated with Nijmegen breakage syndrome, an autosomal recessive chromosomal instability syndrome characterized by microcephaly, growth retardation, immunodeficiency, and cancer predisposition. The encoded protein is a member of the MRE11/RAD50 double-strand break repair complex which consists of 5 proteins. This gene product is thought to be involved in DNA double-strand break repair and DNA damage-induced checkpoint activation.

   


Aliases:    ATV; NBS; P95; NBS1; AT-V1; AT-V2    

Entrez GeneID:    4683    

Swissprot:   O60934    

WB Predicted band size:    85kDa    

Host/Isotype:    Mouse IgG2a    

Species Reactivity:    Human    

Immunogen:    Purified recombinant fragment of human NBN (AA: 467-615) expressed in E. Coli.    

操作说明

WB    1/500 - 1/2000    

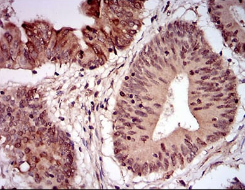
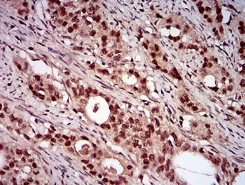
IHC    1/200 - 1/1000    

IF/ICC    1/200 - 1/1000    

FCM    1/200 - 1/400    

ELISA    1/10000    

参考文献