NAPSA单克隆抗体[5A6E4]

AccuSift
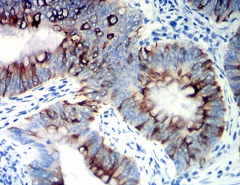
NAPSA Mouse Monoclonal antibody[5A6E4]
KAP; Kdap; NAP1; NAPA; SNAPA
货号 名称 规格 价格 货期 数量
AC2955 NAPSA单克隆抗体[5A6E4] 50ug ¥1250 1周
AC2955 NAPSA单克隆抗体[5A6E4] 100ug ¥2200 1周

This gene encodes a member of the peptidase A1 family of aspartic proteases. The encoded preproprotein is proteolytically processed to generate an activation peptide and the mature protease. The activation peptides of aspartic proteinases function as inhibitors of the protease active site. These peptide segments, or pro-parts, are deemed important for correct folding, targeting, and control of the activation of aspartic proteinase zymogens. The encoded protease may play a role in the proteolytic processing of pulmonary surfactant protein B in the lung and may function in protein catabolism in the renal proximal tubules. This gene has been described as a marker for lung adenocarcinoma and renal cell carcinoma.



Aliases :   KAP; Kdap; NAP1; NAPA; SNAPA    

Entrez GeneID:    9476    

Swissprot :   O96009    

WB Predicted band size:    45.4kDa    

Host/Isotype:    Mouse IgG1    

Species Reactivity :   Human    

Immunogen:    Synthesized peptide of human NAPSA (AA: KPIFVPLSNYRDVQYc).    

操作说明

IHC    1/200 - 1/1000    

ELISA    1/10000    

参考文献